Nestje Xanthy (Berlin From Bobbers Love Of Beauty) en Cas ( Casanova Demabo)

Beide ouderdieren zijn overal op getest en vrij.

We zijn zeer blij en erg benieuwd naar deze tijd.

Zaterdag 1 Februari 2025

Jessy, mama van Xanthy, was in de afgelopen week loops geworden. Vaak zie je dat het volgende teefje dat ook wordt.

Inderdaad vandaag werd Xanthy loops. Inmiddels natuurlijk al wel contact gehad met de eigenaresse van de reu.

Spannend gaat dit traject weer worden.

 

Dinsdag  4 Februari 2025

Afspraak met de dierenarts gemaakt om een uitstrijkje te maken bij Xanthy om te zien of alles goed is. De uitslag duurt altijd een aantal dagen.

 

Vrijdag, 7 Februari 2025

We hebben vandaag de eerste afspraak voor het prikken van de progesteron. We hadden het idee al wel dat ze nog pril loops zou zijn. De uitslag van het uitstrijkje was goed.

En later belde de dierenarts met de uitslag en de waardes waren nog heel laag.

 

Maandag 10 Februari

Wederom naar de dierenarts om progesteron te prikken. Xavi deed nog niet veel op Xanthy uit, zodat we al wisten dat ze nog niet dekrijp  zou zijn.

Het was inderdaad nog niet echt gestegen. Nieuwe afspraak gemaakt.

 

Donderdag 13 Februari

Xavi begint meer interesse te krijgen in Xanthy dus we hopen dat het progesteron gestegen is. Eerst maar weer bloed prikken. 

De uitslag was dat de progesteron omhoog was gegaan, maar net niet genoeg om te dekken. De volgende dag moesten we terug komen.

 

Vrijdag 14 Februari 2025

Vandaag is het Valentijnsdag dus het zou leuk zijn als ze vandaag een date zou hebben met Cassanova. Progesteron geprikt en deze was goed gestegen. Echter het advies om Zaterdag en zondag te gaan dekken. Helaas geen Valentijns date.

 

Zaterdag 15 februari 2025

We zijn vroeg vertrokken. Richard reed, want ik heb mijn pols gebroken en mocht daarom niet rijden.

Om 10.00 u waren we in Belgïe bij Chris van Beierendonck- Lembrechts. Eerst maar even koffie drinken, want het is toch een eindje rijden. Na de koffie gingen we kijken of het lukte met dekken. En ja Xanthy en Cas zaten gekoppeld. 

Nadat ze los raakte hebben we meteen Xanthy in de bus gelegd, zodat ze even rust had.

We zijn naar huis gereden, maar afgesproken dat we s' avonds terug zouden komen. Mike is toen ook meegegaan.

Dit was weer een geslaagde dekking. We waren moe, want we waren om 23.15 u thuis.

Afgesproken dat we zondagmiddag nog terug zou komen.

 

Zondag 16 Februari 2025

Nu reden we om 12.00 u thuis weg. Na een lekkere kop koffie en wat administratieve dingen hebben Xathy en Cas weer natuurlijk gedekt.

Enorm tevreden reden we naar huis. Nu is het afwachten tot de echo.

 

Vrijdag  28 Februari 2025

We zijn al bijna 14 dagen verder.

Xanthy loopt rustiger met me mee tijdens de wandelingen. Ze trekt niet aan de lijn. Ze is rustiger in gedrag. Ze heeft ook niet veel zin om met de anderen te spelen. Even doet ze mee, maar dan terkt ze zich terug. We letten ook op haar dat ze niet wild speelt.

 

Vrijdag 7 maart 2025

Het gedrag van Xanthy is veranderd. Ze ligt veel meer en kijkt niet veel naar de anderen om. De tepels gaan iets groeien en ze heeft gal gebraakt. Eten doet ze nog steeds heel goed.

 

Woensdag 12 maart

Het wordt steeds spannender. Vrijdag is de echo, maar ik vermoed al dat Xanthy drachtig zou zijn. De tepels worden echt groter en ze verkleuren en ze loopt het wilde spelen van de anderen echt uit de weg. Verder had ze best wel snel taai slijm uit de vulva, wat vaak ook een teken is dat de hond drachtig is.

Nog 2 nachtjes slapen.

 

Vrijdag 14 maart 2025

Vandaag is het een spannende dag. Hoewel ik denk dat Xanthy drachtig is, is het toch altijd spannend of het echt zo is.

Richard ging ook mee voor de echo. Hij had nog nooit zo'n echo gezien. We werden door de dierenarts geroepen en Xanthy mocht op de onderzoekstafel staan. Ze kreeg gel  op haar buik en de dierenarts ging even snel over de buik. Ik zag al meteen dat Xanthy drachtig was en de dierenarts ook. 

We hebben daarna rustig gekeken de dierenarts heeft het uitgelegd aan Richard. Hij heeft er toch wel een aantal pupjes gezien.

We zijn zo blij. Er komen weer van die lekkere kleine knuffels.

Het blijft een spannende tijd.

 

 

Toen we eenmaal in onze bus zaten hebben we Chris van Beierendonck gebeld om te vertellen dat Casanova en Xanthy ouders worden. 

Alle inspanningen zijn de moeite waard gebleven.

Op de terugweg hebben we natuurlijk weer heerlijke gebakjes gehaald en hebben die samen met Mike thuis opgegeten.

Daarna heb ik nog wat berichtjes naar een aantal mensen gestuurd om te zeggen dat Xanthy drachtig is. Hopelijk kunnen we over ongeveer 5 weken een aantal mensen blij maken. We kijken er enorm naar uit!!

 

Vrijdag 21 maart 2025, dag 34

We zijn alweer een week verder. De buik van Xanthy groeit goed. Ze komt behoorlijk in gewicht aan. De tepels zijn al erg groot.

Vandaag is het mooi weer en zijn we allemaal veel buiten. Xanthy neemt goed haar rust, ze ligt veel.

Vorige week met puppy brokjes beginnen te voeren, maar ze eet niet normaal. Ze schrokt ze echt naar binnen, waardoor ze wat later de boel weer uit spuugt. Dus nu toch maar ervoor gekozen om haar gewone brokken te  geven.

 

Zondag 30 Maart 2025, dag 43

Het gaat goed met Xanthy. Sinds dat ze weer gewone brokken krijgt, heeft ze niet meer overgegeven. Ze heeft veel honger.  Elke week wordt haar voer opgehoogd. 

Ze heeft een behoorlijk buikje.

Ze wandelt kleine stukjes mee in een rustig tempo.

Ze is af en toe wat feller tegen de anderen. Vooral als die aan haar buik willen ruiken. Ze is dan al heel beschermend tov haar baby's in de buik.

Ze neemt nog meer haar rust dan dat ze al deed. Als ze even in beweging is geweest dan gaat ze daarna meteen liggen. 

De tijd vliegt voorbij. Over 3 weken zijn de pups al geboren. Het gaat zo snel.  

De mensen die op de wachtlijst staan hebben we ook contact mee. We weten natuurlijk niet wat het geslacht van de pups zal zijn, maar vol spanning wachten wij en zij het allemaal af.

 

 

Zaterdag 5 April 2025, dag 49

Met Xanthy gaat het ontzettend goed. Haar buik groeit goed door. Ze heeft nog steeds honger als een paard.

Het lopen is echt sjokken geworden. We gaan niet meer zo'n grote ronde met haar lopen, anders duurt het heel lang voordat we thuis zijn.

Ze krijgt nu 4 keer op een dag brokken, ze vind het heerlijk.

Vandaag heb ik lekker met haar geknuffeld buiten en toen voelde ik leven in haar buik. Dat blijft altijd een mooi en fantastisch gevoel. Ik word daar zo blij van. Het zijn nog maar hele lichte schokjes, maar ze waren wel voelbaar.

 

 

Vrijdag hebben mijn lieve hulp Annet en ik de ruimte al helemaal schoon gemaakt waar dadelijk de werpkist komt. Deze wordt aankomende vrijdag opgezet.

Alle spullen zijn besteld en aangevuld die nodig zijn voor de bevalling. Zelfs nieuwe batterijen zijn aangeschaft voor de weegschaal en de temperatuurmetertje in de werpkist.

Dus qua spullen zijn we er klaar voor. Echter de puppy's moeten nog in de buik bij mama blijven, want nu zijn ze nog niet levensvatbaar. Ze moeten nog lekker groeien bij mama Xanthy.

Ik ben zo benieuwd hoe zij met haar puppy's om gaat. Ze is zelf nog zo'n lekker klein ding.

We zijn aan het aftellen begonnen.

 

Woensdag 9 April 2025, dag 53

Xanthy vind het lopen aan de lijn niet echt fijn meer. Ze kan het tempo van Indy niet meer volgen. We hebben daarom besloten dat ze alleen samen met mij uitgelaten wordt. Dan kan ze tenminste haar eigen tempo lopen.

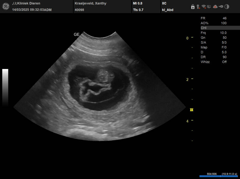
We zijn vandaag naar de dierenarts geweest om een röntgenfoto te maken.  Er was wat tussen gekomen op vrijdag waardoor we de afspraak moesten verzetten naar woensdag.

Xanthy vond het leuk bij de dierenarts, want ze kreeg lekker veel aandacht. Ik heb geholpen bij het maken van de röntgenfoto. Hiervoor moest ik natuurlijk beschermende kleding aan. Daarna heb ik bij haar kop gestaan om te zorgen dat ze rustig bleef liggen.

Ze deed het fantastisch. Ze was wel veel aan het hijgen.

 

 

Op deze foto is het best moeilijk te zien, maar bij de dierenarts konden we het wel goed te zien. De dierenarts telde er 9 pups. Dat had ik niet verwacht. Ik ging een beetje uit van 6 puppy's, maar was blij verrast.

Ze heeft ook een enorme buik. En is het niet verwonderlijk dat ze het lopen niet zo prettig vind. Ze is best veel aangekomen in gewicht, maar ze is absoluut niet te dik. Ze mag al best wel weer meer brokken krijgen.

Haar melkklieren zijn al behoorlijk vol. Ze heeft zelfs al dat er melk gedroogd aan de tepels zitten. Na het weekend gaan we haar buik bij scheren en haar buik/ tepels wassen.

Ook gaan we dan beginnen met temperaturen.

Ze is echt heel lief en zo rustig.

 

Maandag 14 April 2025, dag 58

We zijn alweer een week verder. Ze komt nog steeds in gewicht aan. Ze krijgt het wel moeilijker en zwaarder. Ze wilt alleen lopen om buiten om te plassen en te poepen.

Vanaf vrijdag wordt ze ook getemperatuurd om hopelijk de temperatuurdaling te zien.

Vrijdagmorgen had ze ook iets gal gespuugd.

We zijn toen ook begonnen met de kraamkamer klaar te maken. Alles weer schoongemaakt en de werpkist met warmteplaat en warmtelamp neer gezet.

Verder alle benodigde spullen voor de bevalling op de trimtafel gelegd. Weegschaal ook weer tevoorschijn gehaald.

 

 

Zaterdagmorgen kreeg Xanthy haar brokken, maar deze at ze eigenlijk met tegenzin op. Ze at het omdat ze bang was dat de anderen het anders zouden opeten en dat wilde ze ook niet.

De rest van de dag at ze beter.

zondagmorgen was het hetzelfde. Ze wilde eigenlijk niet eten, maar deed  het uiteindelijk  toch. Ze begon ook wat te graven en wilde zich soms ergens verstoppen. Ze heeft verder wel een rustige nacht gehad.

Vandaag wilde ze weer niet eten, maar nu deed ze het ook niet. Ze kwam nieteens bij haar voederbak staan. Op zich is ze nog wel rustig.

 

Dinsdag 15 April 2025, dag 59

Afgelopen nacht heb ik bij Xanthy geslapen. Ze was heel onrustig. Veel rondlopen en dan achter het bad en/of de trimtafel willen gaan liggen. Dus ik heb zelf ook niet veel geslapen.

Ze hijgt veel en wilt nog steeds niet eten of drinken. 

Vandaag blijft hetzelfde als vannacht. Ze heeft niet de rust om lang op een en dezelfde plek te blijven liggen. Met draaien en/ of bij het gaan liggen, maakt ze ook steeds meer geluidjes.

Verder gaat ze regelmatig naar buiten om te plassen.

ze is lekker aan het rommelen.

We moeten geduld hebben en afwachten wanneer ze gaat beginnen met persweeën.

Dat weet alleen moeder Natuur.

We kunnen haar alleen begeleiden en rust aanbieden.

In de middag begon Xanthy nog onrustiger te worden. Richard en Mike besloten om Xanthy nog meer rust en ruimte te geven door naar een andere ruimte te gaan.

Ik was al een paar keer met haar naar buiten geweest, waar ze kon plassen. Alleen bij de laatste keer was ze zo aan het drukken, maar er kwam niets. 

Toen we weer naar binnen gingen heb ik de warmteplaat, warmte lamp alvast aangezet, want mijn gevoel zei dat het niet meer lang zou duren.

Eenmaal binnen begon ze te kreunen en flink te graven. Op een geven moment maakte ze weer een pers beweging en plaste toen.

Ik heb toen Richard gevraagd of hij de kruiken wilde verwarmen.

Net voor Richard de kruiken gaf, verloor ze vruchtwater. Telefoon gepakt en Miranda gebeld, want zij zou me komen helpen.

Ondertussen perste ze en er kwamen 2 pootjes uit haar vulva. . Echter deze schoten weer terug. Haar vruchtvlies was al wel gebroken. Ik heb toen geprobeerd om te toucheren, maar dat wilde ze niet en begon te schreeuwen.

Nog maar even gewacht, want misschien kreeg ze nog wel een perswee. Echter dit was niet het geval. Dus ik moest actie ondernemen, anders zou de pup stikken. 

Weer opnieuw getoucheerd en ikhad de pup aan haar pootjes vast. Xanthy was in allerlei bochten aan het wringen, want dat deed natuurlijk zeer.

Vervolgens werd de pup geboren. Op dat moment zag ik de silhouetten van Miranda voor de deur staan. Ik deed de deur open om Miranda gauw binnen te laten.

De pup had het toch wel even moeilijk. Miranda wreef haar droog met een handdoek en ik zoog haar uit. De pup kleurde mooi bij en toen zagen we dat het een teefje was.

Gewogen. Xanthy vond het maar raar en begon tegen de pup te blaffen. Ze had nog niet in de gaten dat zij van haar was. Ze rook er wel aan en likte ook aan de pup, maar verder vond ze het raar.

Er was niet veel om na te denken, want no 2 kwam er al aan. Ook daar blafte ze tegen en pas bij derde hebben we haar neergelegd en de pups aangelegd. Op dat moment werd ze volop moeder.

De hele bevalling verliep heel snel. Ze had een enorme perskracht. Hierdoor moesten we zo nu en dan wat handelingen uitvoeren.

De pups doen het allemaal goed. Het was verder een goede bevalling. Pups waren tussen de 380- 316 gram met een uitspatting van een reu die 468 gram was.

6 reutjes en 3 teefjes zijn er geboren. We waren zo blij en vooral opgelucht voor de mensen die al zolang op ons wachtlijst stonden.

 

 

Na de geboortes heb ik haar nog mee naar buiten genomen, want ze had nog wat weeën. Eenmaal buiten verloor ze nog een placenta.

We hebben toen de pups weer aangelegd en ze was nu rustig. Het was klaar, de dierenarts had het goed op de röntgenfoto gezien.

Miranda en ik hebben nog gegeten en natuurlijk een taartje gegeten. Miranda ging naar huis en Richard en ik hebben alles opgeruimd en schoon gemaakt.

 

Woensdag 16 April 2025

Vannacht heeft Xanthy bijna de hele nacht in de werpkist geslapen. Ik lag op een matras voor de werpkist. De pups hebben goed gedronken, maar van veel slapen was geen sprake.

Om 8.00 u heb ik ze gewogen en ze waren allemaal goed aangekomen, dus dat is altijd heel fijn. 

Xanthy is nog heel onrustig, het is ook nog moeilijk voor een jonge hond en dan haar eerste nest.

Ze reageert heel veel op de geluidjes van de pups. Ze ligt verder veel in de kist bij haar pups, dus kunnen ze veel drinken.

Verder hebben Richard en ik gekeken naar de Kennelnamen voor de pups. Dadelijk ga ik een geboorte aangifte doen bij de Old English Sheepdog Club Nederland.

 

 

Donderdag 17 April 2025.

De nacht is goed verlopen. Xanthy heeft de hele nacht weer in de werpkist gelegen. De puppy's konden drinken wanneer ze wilden of lekker warm en dicht tegen mama Xanthy aankruipen.

Ik heb er weer met een matras voor gelegen. Slapen doe je niet echt, maar die haal ik van middag wel weer in.

De pups zijn vanmorgen gewogen en ze zijn weer allemaal aangekomen. Ze hebben een lekker rond buikje, ze plassen en poepen goed. Heerlijk genieten dit, maar ook bewerkelijk, want je bent veel aan het tellen of je ze alle 9 nog ziet.

 

 

Verder hebben we de geboorteaangifte  gedaan bij de Old English Sheepdog Club Nederland en bij de Raad van Beheer.

Dit zijn de kennelnamen geworden:

Voor de Reuen:

1. Daytona From Bobbers Love Of Beauty

2. DeSoto From Bobbers Love Of Beauty

3. Dalton From Bobbers Love Of Beauty

4. Deville From Bobbers Love Of Beauty

5. Denver From Bobbers Lovers Of Beauty

6. Dudley From Bobbers Love Of Beauty

 

Voor de teven:

1. Dakota From Bobbers Love Of Beauty

2. Dallas From Bobbers Love Of Beauty

3. Delphi From Bobbers Love Of Beauty

Verder hebben we nog even de dierenarts gebeld om te vermelden dat er 9 pups zijn geboren, want zij wilden graag op de hoogte worden gehouden.

Xanthy ligt alweer lekker bij haar kleintjes in de werpkist. Dat gaf ons de gelegenheid om te stofzuigen, dweilen en schoonmaken.

 

 

 

Vrijdag 18 pril 2025.

De nacht is weer en ik heb sporadisch wat geslapen. Wanneer Xanthy niet in de werpkist ligt bij haar pups blijft ze enorm onrustig.

Het is zelf zo dat zij zichzelf totaal geen rust gunt om te eten. Dus ik geef haar de brokken als ze gewoon in de kist ligt, evenals water. Daarna droog ik gauw haar baard. 

 

 

We lopen ook al de gewone route die we liepen, voordat Xanthy drachtig werd. Beweging is ook goed voor haar, zodat ze ook meer honger krijgt.

Ze doet het goed, ze heeft vandaag haar regeldag qua melkproductie.  Maar ze ligt de hele dag er bijna in, dus de pups komen niets te kort. Ze groeien gewoon waar je bij staat.

Het is ook geweldig om te zien hoe ze in bepaalde liggingen gewoon kunnen drinken.

Vandaag maar eens foto's individueel van de reutjes en teefjes gemaakt.

Ze zijn zo mooi. 

Dit zijn de 6 reutjes: Mocht je geïntresserd zijn in één van de reutjes, laat het me dan weten.

 

 

Dit zijn de teefjes:

 

 

Ze zijn vandaag 3 dagen oud en het pigment op de neusjes en lippen beginnen al te komen.

 

Maandag 21 April 2025

De puppy's zijn vandaag 6 dagen oud. Ze groeien goed. Dit gaat zo hard. 

Mama Xanthy heeft gelukkig genoeg aan voeding voor de pups. Het is zo belangrijk dat de puppy's goed kunnen drinken bij de moeder. Ze geven via de melk essentiële voedingsstoffen door die goed is voor de groei en ontwikkeling. Daarnaast zitten er zoveel antistoffen in van  moeder.

Xanthy is al goed hersteld van de bevalling. Ze eet goed, wel in de werpkist bij haar kleintjes, drinkt goed en loopt alweer lekker mee.

De melkklieren zien er goed uit, geen harde plekken of iets dergelijks.

Xanthy is ook wat rustiger geworden. Eerst was het zo bij elk geluidje of beweging stond ze in de werpkist of ze lag er uren erbij in.

Nu is ze in haar gedrag rustiger geworden. Dit draagt ze ook uit naar haar puppy's.

 

 

We hebben nu ook wat meer knuffels in de werpkist gelegd waar de pups met hun koppie op kunnen liggen of er lekker tegenaan kunnen liggen. De warmtelamp is nog zeker nodig, want soms kruipen ze nog met z'n allen lekker eronder.

De tempo in het worden van echte hondjes gaat zo snel. Eerst slepen ze zich nog voort met de achterpoten en nu beginnen ze er al op te staan. Ze zijn ook supersnel als mama in de werpkist komt. Ze vliegen dan heel snel met z'n negenen op mama Xanthy af.

Het is zo genieten van hoe ze groeien ed. Daarnaast maken ze van die heerlijke geluidjes, daar smelt ik van.

Xanthy's grote zus Ginny reageert ook veel op de geluidjes van de puppy's. Als ze wordt uitgelaten dan kijkt ze steeds via het raam naar naar de kraamkamer, Ze is er niet van weg te slaan. Ze kan rustig een poos voor het raam zitten in de hoop dat ze iets van de pups ziet.

Mama Xanthy wordt dan wel heel waaks. Buiten ook als ze tijdens het wandelen een hond tegen komt dan blaft ze enorm. Ze is echt een moedertje.

 

 

Woensdag 23 April 2025.

Gisteren waren de pups alweer 1 week oud. Ze groeien nog steeds fantastisch. De kleinste pup met de geboorte heeft vandaag zijn gewicht verdubbeld. Dat is heel goed. Anderen hebben morgen waarschijnlijk hun gewicht verdubbeld en de anderen precies op de 10e dag.

Xanthy heeft voldoende voeding voor alle 9. Dat is echt prachtig. 

Geen gedoe of stress dat je ze moet bijvoeden en ze willen niet drinken etc. Dit gaat vanzelf. Ik let er wel op dat de kleinsten niet aan de kant worden geschoven door de grotere.

Ze zoeken elkaar nog heel veel op en liggen ook vaak nog op of bij elkaar. Zo krijgen ze nog behoorlijk warmte van elkaar.

 

 

over een paar dagen zullen de oogjes langzaam open gaan en gaan ze leren lopen. Dan komt er ook meer interactie tussen de pups zelf. Nu moeten ze vooral eten en slapen om te kunnen groeien.

Xanthy heeft wel iets een rood buikje. Dit komt, omdat de nageltjes gaan groeien van de pups en die zijn best scherp en aangezien ze met hun poten tegen de buik bewegen om de melkproductie te stimuleren, gaat dat irriteren.

 

 

Zondag 27 April 2025

Er is nu nog niet veel veranderd. De pups drinken bij mama en ze slapen veel. Ze proberen inmiddels wel te lopen.

Ze zijn ook supersnel als mama Xanthy in de werpkist komt en wilt gaan liggen. Je moet dan zo oppasen dat Xanthy niet op haar pups gaat liggen.

De oogjes worden kleine spleetjes, maar zijn nog niet open.

De lamp zal nog hoger worden gehangen of misschien overdag uit. De omgevingstemperatuur is rond 24 graden overdag en als het wat kouder is dan zet ik een elektrische kachel aan.

De pups liggen namelijk in groepjes in de werpkist verspreid of ze liggen met z'n allen tegen een rand aan.

 

 

Mike wilde al een tijdje zo graag een pupje vast houden. Echter hebben we hem ook uitgelegd dat hij daar even mee moest wachten, omdat de pupjes nog te klein waren en zich buiten de kist niet op temperatuur kunnen houden en dus gauw te koud zouden krijgen.

Gelukkig begreep hij dat en gisteren was het dan zover, hij mocht een pupje vast houden. Vol trots zat hij met een reutje op schoot. Grote glimlach om zijn mond. Mike zegt ook tegen iedereen dat hij oom is geworden. Zo lief, hij is zo betrokken bij de pups.

En op een gegeven moment zegt hij zelf dat het reutje weer terug in de werpkist moet worden gelegd, omdat hij anders te koud wordt. Geweldig toch.!

 

 

Dinsdag 29 April 2025

De pups zijn vandaag 2 weken oud. Ze zijn vanmorgen na de voeding allemaal ontwormd. Het is altijd goed kijken of we niemand hebben overgeslagen. Na de ontworming hebben ze nog even geslapen. Hopelijk hebben ze niet veel last van de ontworming.

Daarna 1 voor 1 laten kennis maken met vast voedsel en wel met mousse en een beetje puppenmelk.

De pups moeten hier echt aan wennen. Meestal nemen ze een likje en daarna lopen ze achteruit. Ze weten niet wat het is. Het smaakt natuurlijk anders en het voelt ook anders in hun bek aan. Vaak zitten ze helemaal onder, want er gaat regelmatig een poot door de mousse.

 

 

De oogjes gaan nu ook langzaam open bij de pups. Bij een teefje en 2 reutjes zijn ze al volledig open. Zo mooi om te zien. Het pigment op het neusje en lippen zijn al behoorlijk aanwezig. Bijna allemaal hebben al een zwarte neus en lippen.

Het worden langzaam steeds meer leuke en actieve hondjes. Ze liggen nog steeds wel veel op elkaar te slapen, maar beginnen soms ook al een beetje de ander uit te dagen.

 

 

Als de andere volwassen honden buiten zijn dan staan altijd oma Jessy en zusje Ginny voor het raam. Ze zouden het liefst naar de pups toe gaan, maar mama Xanthy is nog heel waaks. We wachten daarmee tot de pups ongeveer 4 weken zijn. Ze verhuizen dan naar de keuken en dan zijn de andere grote honden er ook meer bij. Voor nu heeft mama Xanthy nog de rust nodig met haar kleintjes.

 

 

Vrijdag 2 mei 2025

De puppy's kunnen al snel lopen. Ze zijn nu en dan wel wankel, maar als ze mama zien en ruiken dan zijn ze heel snel.

Alle oogjes zijn nu open bij de pups. Sommige kunnen al iets horen en gaan dus de oortjes open. Je merkt het als ze slapen en je klapt bv dan bewegen de oortje of ze kijken op.

Als je ziet hoe ze in zo'n snel tempo zich ontwikkelen dat is echt bizar.

 

 

Het eten van mousse gaat ook steeds beter. Ze beginnen het lekker te vinden. Er zijn nog wel 2 wat afwachtende en 1 teefje vind het helemaal niets. Misschien moet ze er nog flink aan wennen. Ze draait heel eigenwijs haar kop weg, ze zal er ook geen likje van nemen. We blijven het gewoon proberen.

Verder zit er ook langere tijd tussen het voeden van Mama Xanthy. Dit geeft haar ook meer rust. Xanthy eet en drinkt nog steeds heel goed. S'nachts komen ze ook nog maar 1 keer om te voeden.

Ze slapen korter. Er komt meer interactie tussen de pups. Ze beginnen met elkaar te spelen.Dat gebeurt natuurlijk met hun monden.

Verder hebben ze al behoorlijk verdikkingen in hun mond. De tanden en kiezen zijn zich aan het vormen. Dus dat duurt niet lang meer, voordat deze zullen doorbreken.

 

 

Woensdag 7 mei 2025

We zijn alweer 5 dagen verder. De pups waren gisteren 3 weken oud. 

Ze lopen al snel in de werpkist. Sommige proberen zelfs te rennen, maar daar is niet veel ruimte voor. 

Ze eten nu voor elke voeding mousse. Dat zie je goed aan hen. Ze komen nu ook goed in gewicht aan. Ze krijgen nu meer voeding, dus de ontlasting wordt ook steeds meer. En dan merk je dat er 9 pups zijn.

Eerst kregen ze eten apart. 1voor 1 werden ze geholpen met het eten. Niet alle pups vonden het lekker, maar de aanhouder wint.

Vandaag hebben ze voor het eerst met z'n allen uit de grote ronde trog gegeten. Ze begonnen meteen te eten. Echter op een gegeven moment lagen ze lang uit op de trog.

Geweldig dit.

 

 

Natuurlijk mogen ze na de mousse weer bij mama drinken. Echter mama Xanthy vind het niet zo leuk meer. want ze krijgen tandjes en dat doet zeer. Vooral die fijne scherpe tandjes.

 Ze blijft nu soms zitten met voeden.

Verder hebben we een klein hekwerkje voor de werpkist gezet, zodat de pups ook uit de werpkist kunnen gaan liggen. Om er uit te komen is nog niet zo makkelijk, behalve als mama Xanthy langs loopt dan kunnen ze heel snel uit de werpkist klimmen. Soms met z"n allen tegelijk.

Natuurlijk wilde onze Mike bij in het rennetje zitten. Het paste net.

 

 

De puppyvisite is ook van start gegaan. De eerste mensen zijn al puppy wezen knuffelen. Ze willen alleen nog niet stilliggen, want ze zijn normaal altijd bij elkaar.

Ook als mama Xanthy voorbij komt lopen of Xanthy springt met de voorpoten op schoot om de pup maar schoon te likken.

Ze zijn nu meer wakker. Ze spelen eten en slapen,

 

Woensdag 14 Mei 2025

Mama Xanthy en haar puppy's zijn zaterdag morgen verhuisd naar de keuken. Ze wilden niet meer in de werpkist liggen en s' nachts waren ze heel onrustig. De pups hadden meer ruimte nodig, dus hebben we zaterdagmorgen gauw de keuken klaar gemaakt om daar puppy panelen te plaatsen. 

Ze vonden het eerst heel spannend en konden hun rust nog niet vinden, maar nu hebben ze hun draai gevonden en zijn ze heel rustig.

 

 

De puppy's kunnen nu goed lopen en staan en is de ronde voerbak vervangen voor een voertray. Ze krijgen nu voer in een eigen bakje. De mousse krijgen ze nog heel iets samen met geweekte brokjes. Daarnaast drinken ze ook nog bij mama. Xanthy is al aan het afspenen, want ze hebben tandjes gekregen en dat is niet fijn aan de tepels. 

Xanthy moet echter nog wel wat voeden, want je wilt niet dat ze nu nog mastitis (borstonsteking) krijgt.

Ook drinken de pups nu water uit een drinkbakje.  Ze zijn erg tevreden. 

 

 

Ze spelen veel met elkaar. Ze beginnen wat karakter te vormen. Zo leuk om te zien. Daarnaast slapen ze ook nog veel, want het zijn natuurlijk nog kleine baby's.

Ze herkennen mij al, want als ik in de ren kom dan komen ze allemaal naar me toe. Heerlijk is dat. Vaak speel ik dan even met ze en laat ze dan met rust. Ze laten ook al voelen dat ze tandjes krijgen, want ze gaan al in de enkel/ broekspijp bijten.

 De nieuwe puppy baasjes komen ook allemaal op visite. Lekker even knuffelen met ze en om die lekkere puppygeur op te snuiven.

Morgen zijn ze 1 maand oud. Ze doen het heel goed en ze worden zo mooi.

We hebben nu 2 honden toiletten met kunstgras in de ren staan, want ze plassen en poepen goed. Hopelijk helpt dit met zindelijk worden.

Morgen worden ze ook weer ontwormd. 

Xanthy doet het ook super. Ze accepteert dat de andere grote honden erbij liggen. De pups liggen weliswaar in het rennetje en de grote er naast. Ze zet de grote alleen op hun plaats als deze te druk doen dan laat ze zien dat ze er niet mee eens is, maar verder gaat het heel goed.

 

 

Yasmin Zonneveld  kwam ook even hier om puppy's te kijken en maakte meteen geweldige foto's. Dit zijn een paar foto's van haar.

 

Donderdag 15 Mei 2025

Vanmorgen zijn alle pups gewogen en aan de hand daarvan heeft elke pup de juiste hoeveelheid ontwormingspasta gekregen.

Nadat ze deze pasta gekregen hadden waren ze eigenlijk meteen gaan slapen. Op een gegeven moment werden ze wakker en waren er toch wel een aantal pups aan de diarree. Anderen waren een beetje misselijk. Toen ze om 12.00 u eten kregen wilden de kleine witkop reu en witkop teef niet eten en gingen meteen weer liggen.

Ik heb toen het reutje en teefje bij Xanthy laten drinken, zodat ze toch voeding binnen kregen.

Later die middag kwam er puppy visite. Sommige pups waren actief en andere sliepen veel en voelden zich toch niet zo lekker.

 

 

Om 18.00 u kregen ze weer voeding. Sommige kregen alleen de brokjes geweekt in water. Anderen kregen er nog wat mousse doorheen. 

Vanaf morgen krijgen ze allemaal alleen de geweekte brokjes. Ik ben benieuwd hoe dit zal gaan of ze gewoon gaan eten of dat ze er bij weg lopen.

Gelukkig aten ze toen allemaal en is er geen diarree meer. Ze zijn ook weer lekker actief. Mike heeft vanavond weer lekker in het rennetje gezeten. Morgen komt er weer visite, dus worden ze weer lekker geknuffeld.

 

 

Vrijdag 16 mei 2025

Het was vandaag weer mooi weer zo'n 19 graden was het hier. In de ochtend was het nog behoorlijk fris, maar s' middags was het heerlijk.

We hebben het rennetje open gedaan en de deur open en toen de pups geroepen. Heel langzaam kwamen ze 1 voor 1 naar buiten. Een paar bleven binnen, want dat vonden ze heel eng. 

Uiteindelijk hebben we ze naar buiten getild. Wat was het spannend voor hen. Het voelt anders onder je poten en zo groot. Daarnaast horen ze allerlei geluiden.

Ze liepen eerst over de stenen en Mike en ik gingen op het gras zitten. Toen hebben we ze naar het gras gelokt. Sommige plekken waren best warm en dat lieten ze ook goed horen.

Voorzichtig werd er al met elkaar gespeeld.

 

 

Op een gegeven moment hebben we ze naar binnen gedaan, konden ze even bijkomen van de indrukken.

Het kunstgras ben ik helemaal schoon gaan maken. Ondertussen heeft Richard de schommel opgehangen, Ballenbad met ballen op gehaald. Ook knuffels, de tunnel gepakt en de tent al iets opgezet. Deze moest nog een klein stukje omhoog en dat hebben we samen even gedaan.Toen de spullen neergezet en als laatste het hekwerk geplaatst, zodat de kleintjes op het gras blijven en de grote niet bij hun kan komen.

Het speeltuin is weer klaar voor deze schatjes. We hebben de pups weer opgehaald en op het gras gezet. 

Ze keken eerst de kat uit de boom en daarna speelden ze met de knuffels en speelgoed. Er was al een pup op de balans kussen en één pup toonde lef om door de tunnel te lopen.

 

 

Maandag 26 Mei 2025

Morgen zijn de pups alweer 6 weken oud. In 10 dagen tijd is er weer veel veranderd.

Op dinsdag 20 mei is de medewerker van de Raad van Beheer gekomen om de pups te chippen en ze te koppelen aan hun stamboomnaam.

Ook werd er DNA afgenomen voor de afstamming. De pups deden het goed. Een enkeling piepte maar een beetje.

Nadat het kleine witkop reutje gechipt was zat hij behoorlijk onder het bloed. Het leek erg dramatisch, maar viel eigenlijk wel mee. De chipper had een bloedvaatje geraakt.

De pups zijn even gaan slapen en kregen daarna wat te eten.

Het waren wel weer behoorlijke indrukken voor hen.

 

 

Puppyvisite is al goed op gang gekomen. Alle nieuwe eigenaren zijn al een keer geweest, sommige al 2 keer.

De meesten konden nog niet buiten zitten en dat is wel jammer, want ze zijn zo leuk buiten. Ze zijn heel ondernemend en durven echt alles. Ze lopen de glijbaan op en dat heeft nog geen pup van ons gedaan. Verder ontwikkelen ze zich snel. 

Ze lopen zo de balans kussen op en soms via de balans kussen de ballenbak in. Zelfs de ballenbak vinden ze leuk.

Ze rennen lekker rond en spelen met de knuffels, lopen of rennen over de schommel. Ze gaan de tunnel door met een aantal tegelijk.

 

 

De karakters gaan nu ontwikkelen. Zo mooi om te zien hoe ze een eigen individu worden. Aan de hand van hun karakters gaan we kijken welke pup past bij een eigenaar. Ook nemen we daar de thuissituatie in mee. Zoals of er jonge kinderen aanwezig zijn en als er al een hond is, hoe deze qua karakter is. We proberen echt de goeie match te vinden.

De nieuwe baasjes mogen hun voorkeuren wel aangeven, maar wij bepalen op beeld dat wij hebben van het observeren van de pups waar ze het best naar toe kunnen gaan.

We geven dit dan door aan de nieuwe baasjes met deuitleg waarom we vinden dat een bepaalde pup het beste bij hen hoort.  De mensen kiezen eigenlijk eerst op basis van het uiterlijk, maar het innerlijk is veel belangrijker.

 

 

Het eten is ook behoorlijk veranderd. Ze begonnen met mousse van een schoteltje te eten, daarna ging de mousse in de trog.

Vervolgens kwamen de grote voertray's en daar kwam geweekte brokken met mousse in. Daarna verdween de mousse en werden de brokken steeds minder geweekt in water. Ze eten nu de brokjes zo. Ze moeten nu kauwen en dat duurt allemaal langer, dus dat vinden ze niet altijd even leuk.

Ze kennen zelfs het geluid als je de bakjes in de voertray doet. Ze laten zich dan ook horen met behoorlijk wat decibels.

 

 

Ze hebben al een aantal vlijmscherpe tandjes. Morgen gaan ze naar de dierenarts voor de 1e inenting. Alle 9 in de bus. Weer spannend voor hen. Ik heb in ieder geval wat hulptroepen geregeld.

 

Zaterdag 7 Juni 2025

Het wordt weer eens tijd om wat te schrijven. Het was een drukke periode waardoor ik weinig tijd had.

De pups zijn op 27 Mei 2025 naar de dierenarts geweest. Annet en Leanne waren mee. Leanne zat bij de pups in de bench. 

 

 Bij de dierenarts konden we meteen naar de onderzoekskamer. Daar kwamen de dierenarts en assistente om een gezondheidscontrole bij de pups te doen en in te enten.

Ze deden het allemaal fantastisch. Ze zijn allemaal gezond verklaard. En de mannen hebben allen hun beide teelballen. De chip is gecontroleerd en de gezondheids boekjes zijn klaar gemaakt.

De dierenarts vond ze geweldig. Ze waren heel relaxed. een aantal lagen tussen de benen van de dierenarts en anderen waren de veters van de assistente aan het los maken. Na het inenten gingen ze allemaal slapen op de grond.

 

 

Daarna gingen de puppy's weer de bus in samen met Leanne. Eenmaal thuis waren ze moe van de vele indrukken en gingen lekker slapen. Ze hebben niet veel last van de inenting gehad.

Dagen daarna kwamen er weer veel puppyvisites. Het werd een dagelijkse routine. S' morgens eerst pups eten en drinken, de grote honden uitlaten en eten en drinken geven. Daarna zelf eten en drinken maken. Vervolgens bij mooi weer gingen de pups de speeltuin in en konden we de ren schoonmaken. S' middags vaak visite en s, avonds na het eten weer even lekker naar buiten, zodat we de boel weer konden verschonen.

 

 

Zondag 1 juni was de kampioensclubmatch van de Old English Sheepdog Club Nederland. ik ben daar bestuurslid van en moest ook komen helpen.

De pups waren ingeent, dus we hebben ze meegenomen naar Radewijk. Ik heb bij de pups in de bench gezeten op de heen weg, omdat het anderhalf uur rijden was. Ze deden het prima. Sommige konden niet meteen de rust vinden, maar op een gegeven moment gingen zij ook liggen.

Richard reed en Mike zat bij hem voorin. We moesten nu veel spullen meenemen voor de pups, zoals een tent, brokjes, waterbakjes, kleden en puppypanelen om een ren mee te maken.

De puppy's kregen heel veel aandacht. Ze waren wel even onder de indruk van andere bobtails. De keurmeester had een stagiaire die deze ras moest leren, dus ze begon met informatie  geven over de puppy's.

Er kwamen nieuwe baasjes van de pups naar hun kleintje kijken en mensen die nu op de wachtlijst staan kwamen ook speciaal, omdat ze wisten dat we de pups mee namen.

De pups hebben het goed gedaan, het was prachtig weer en een hele ervaring. Op de terug weg heb ik gewoon voorin gezeten, want ze waren doodmoe.

 

 

Het is nu ook duidelijk welk hondje er naar de baasjes gaan.

Dallas From Bobbers Love Of Beauty wordt Liesje en gaat naar Breda

Delphi From Bobbers Love Of Beauty wordt Dolly en gaat naar Margraten

Dakota From Bobbers Love Of Beauty wordt Nora en gaat naar Sittard

DeSoto From Bobbers Love Of Beauty wordt Mowgli en gaat naar Wijlre

Denver From Bobbers Love Of Beauty wordt Archie en gaat naar Roermond

Dalton From Bobbers Love Of Beauty wordt Boaz en gaat naar Doesburg

Dudley From Bobbers Love Of Beauty wordt Dudley en gaat naar Doesburg

Deville From Bobbers Love Of Beauty wordt Jagger en gaat naar winterswijk

Daytona From Bobbers Love Of Beauty wordt Blue en gaat naar Appingedam

 

Zo kunnen we de pups ook bij naam noemen. En is voor de baasjes ook fijn te weten welk pupje ze krijgen.

Verder zijn we nog aan het leren om aan een riempje te lopen. Bij de een gaat het beter dan  bij de ander, maar dat leren ze wel.

Morgen gaat Dolly al naar haar gouden mandje. Ze komt bij Ody, zusje van onze Ginny. Zij konden volgende week niet, daarom gaat ze eerder weg. 

Dolly is een zeer rustige dame. Ze is meer gefocust op andere honden dan op mensen. Zij koos zelf Ody uit. Ody was namelijk mee en Dolly was aan het spelen met haar nieuwe baasjes en ze zag Ody, stond en liep telkens daar naar waar Ody was.

Ik vind het best weer spannend morgen, want dan gaat het beginnen met los laten en vertrouwen hebben in de mensen dat ze goed voor je puppenkindje zorgen.

Ook spannend dat je de juiste keuze hebt gemaakt qua toewijzing van de pup.

We zullen het gaan zien morgen.

Verder gaan we van de week met de rest nog naar verpleeghuizen en dagbesteding van Mike.

 

Dolly

Maandag 9 Juni 2025

Joey en Leanne hadden halsbandjes gekocht om een filmpje te maken waar de pupy's zelf hun eigen halsbandje uit konden kiezen.

op 30  Mei was het dan zover. De bobtail collar challenge.

 

 

Zaterdagavond heb ik Dolly gewassen en gedroogd met de föhn. Dit deed ze heel goed. Ze was best moe na het wassen en ging zelf op de zij liggen om geborsteld te worden. Gisteren is ze  vertrokken naar haar nieuwe baasjes. Dat was wel even slikken en een traantje wegpinken. Ze krijgt het heel goed daar met haar tante.

De autorit was goed verlopen en daar was ze heel blij met haar nieuwe maatje. De nacht is ook heel goed verlopen. Echt geweldig, ondanks dat we het moeilijk vinden om ze los te laten, wordt je heel blij van zulke berichten.

 

 

Vanmorgen hebben we nog puppyvisite gehad. De nieuwe baasjes wilden Archie nog een keer zien.

Vanmiddag zijn we naar het werk van een van de nieuwe baasjes geweest. Villa De Horsting dit is een kleinschalig wonen voor mensen die dementiezorg nodig hebben.

\We zijn er met de bus naar toe gegaan. Ze waren nu wat onrustiger in de bus. Gelukkig was het niet zolang om te rijden.

Daar aangekomen heeft Christine ( baasje van Dudley) ons geholpen om naar binnen te gaan. Het lopen aan het riempje aan zo'n grote weg was toch wel spannend. Uiteindelijk is het ons gelukt om daar binnen te komen.

De bewoners vonden ze geweldig. Er was ook bezoek van de bewoners aanwezig. Zelfs de verzorgende konden niet ophouden met knuffelen. 

De puppy's waren alles aan het onderzoeken. Er werd volop aan rolstoelen gebeten, veters los gemaakt en lekker op de arm bij de bewoners.

 Op een gegeven moment gingen ze rustig liggen en lagen ze er heel relaxed bij.

Daarna weer terug in de bus. Ik ben er toen voor de rust maar weer bij in gaan zitten. Thuis gekomen hebben we ze in het rennetje gedaan en hebben ze heerlijk geslapen.

Dag 1 van socialisatie was goed gelukt.

 

 

Dinsdag 10 Juni 2025

We hadden voor vandaag een afspraak staan bij het Biesemhuis in Doesburg. Dit is ook kleinschalig wonen voor mensen met geheugenproblemen ed. 

Mike ging bij de pups in de bench zitten en heeft allerlei liedjes voor ze gezongen in de bus. Bij het Biesemhuis aangekomen hielpen wat verzorgers met het naar binnen brengen van de puppy's. 

De bewoners zaten er allemaal klaar voor en ze zaten in een kring te wachten op de pups. Sommige bewoners vonden het geweldig en wilden ook lekker even knuffelen met ze en sommige vonden het niets, maar werden wel getriggerd door de kleintjes. 

Ze lieten ook wel hun schelle blaf horen.

De pups waren goed actief, ze gingen goed op onderzoek uit. De vitrage was leuk om aan te trekken, de veters van de bewoners, wederom een rolstoel om op te bijten, stoelpoten en alles waar ze de tanden maar in konden zetten. Daarna gingen ze lekker relaxed liggen. Na goed 45 min hebben we de pups weer opgepakt en in de bus gezet bij Mike, die zat ook weer achterin.

En zijn we rustig naar huis gereden. Thuis gekomen in de ren gezet en ze slapen lekker, weer bijkomen van alle indrukken.

 

 

Vrijdag 20 Juni 2025

Het is stil in huis de pups zijn naar hun liefdevolle huisjes gegaan et hun nieuwe baasjes. Donderdagmorgen is Mowgli weggegaan. Ik had hem al vorige week op woensdagavond gewassen en geföhnd. Hij vond het niet eng en was best heel relaxed.

Hij is zelf ook heel relaxed. Hij was best rustig aanwezig en zeker geen druktemaker. Mowgli was de grootste uit het nest en maakte zich niet zo druk, want zoals met eten dan drukte hij gewoon wat aan de kant en kreeg zijn eten wel. Hij is naar een gezinnetje gegaan met 3 kleine kindjes en zal daar goed op zijn plaats zitten. 

We hebben al gehoord dat het heel goed met hem gaat.

 

 

Vrijdag morgen  is Nora naar haar baasjes gegaan, deze stonden al 3 jaar op de wachtlijst en zijn nu helemaal gelukkig.

Nauurlijk heb ik haar ook gewassen, geföhnd en geborsteld. Ze vond het wel een beetje spannend dat wassen, maar uiteindelijk was ze zo moe dat ze in slaap viel met het borstelen en knippen van de haartjes tussen de voetjes.

Nora was een lief meisje. Ze kwispelde altijd als ik haar oppakte. Ze was dan altijd blij. Ze wilde ook de aandacht van mij. Soms sprong ze zo in mijn armen. Het eten vond ze niet altijd leuk. Ze kwam goed aan, maar zij en Blue waren wel de lichtste toen ze weggingen.

Ze doet het goed bij haar nieuwe baasjes. Alles is even wennen, maar stap voor stap komt het goed.

Zij gaat naar een ander bobtail teefje Riva. Riva is veel in beweging. Zij kan niet veel rust nemen. Hopelijk zal Nora haar daarbij helpen om dat wel te doen

 

 

Vrijdagmiddag ging Dudley weg met zijn lieve baasje naar Doesburg. Dudley was een kleine deugniet. Best een pittig karakter. Hij heeft echt van die ondeugende ogen, maar heel slim. Baasje krijgt zijn handen nog vol aan hem, maar dat wilde ze ook graag. 

Ook hij is ontzettend lief en houd van knuffelen.

Hij was niet onder de indruk van het wassen, alleen het liggen op zijn zij wilde hij eerst niet. Later wel,  toen was hij zo moe en gaf het op.

Dudley komt lekker alleen bij zijn baasje, waardoor hij alle aandacht zal krijgen. Misschien komt er volgend jaar een maatje voor hem erbij.

 

 

Zaterdagmorgen was het aan de beurt voor Archie om naar zijn nieuwe baasjes te gaan.

Ook Archie is een slimme jongen, net als Dudley. Hij weet precies wat hij wilt en kan dat ook goed aangeven. Luid en duidelijk. Hij houd erg van knuffelen en aandacht.

Archie was ook zeer ondernemend, maar buitenshuis vond hij dingen toch wel spannend.

Archie gaat samen met de broer ( Ollie) van onze Kenji opgroeien in Limburg.

Ollie is een hele rustige reutje. Hopelijk wordt hij door Archie wat zelfverzekerder.

 

 

Zaterdagmiddag Kwamen de Familie Beijers om hun kleine man op te halen. Dat was Jagger.

Jagger is een hele lieve knuffelende, soms ondeugende reutje. Eten kon jij nooit op een normale manier. Hij lag altijd op de voertray en at dan op de kop de brokken. Vaak zette ik hem dan recht achter zijn bakje, maar al gauw lag hij alweer bovenop de voertray. Jagger kan je altijd zo aandoenlijk aan kijken en wilde altijd bij je zijn. 

Jagger steekt telkens een klein stukje tong uit zijn mond, dat is een heel schattig gezicht.

Hij komt alleen bij de familie te wonen.

 

 

Nadat zaterdagmiddag Jagger was weggegaan ben ik gauw Boaz gaan wassen, want hij zou een uur later worden opgehaald.

Boaz was heel relaxed met het wassen en drogen. Hij is dat zo ook wel. Hij is best heel zelfverzekerd. Ook hij had moeite met recht achter zijn voederbak te staan. Hij deed hetzelfde als Jagger en liep ook steeds rond en duwde dan de anderen bij hun voerbak weg.

Daarnaast deed hij zijn ontlasting en plassen al heel gauw op het kunstgrasje. Boaz is ook zeer fotogeniek. 

Boaz gaat naar mama Xanthy's broer Ollie. Hij is een grote stuiterbal. Hopelijk wordt hij door Boaz wat rustiger.

 

 

Toen waren nog maar 2 puppy's meer hier. Dat was raar. De ren leek ineens zo groot. Zelfs Blue en Liesje vonden het raar. Ik had 1 voertray met 2 voerbakjes in de ren gezet voor het eten van de pups. Zowel Blue als Liesje keken in de voerbak, toen elkaar aan en daarna in het rond. Ze misten de rest. Vervolgens gingen ze allebei liggen en wilden ze niet eten. Later die avond zijn ze nog samen buiten wezen spelen en aten ze de laatste voeding wel weer. De laatste nacht, dat we pups hadden, volgde.

 

 

Zondag stonden we op en hebben we eerst de puppyren kleiner gemaakt. Daarna ben ik Blue gaan wassen en drogen, want hij werd in de ochtend opgehaald.

Blue was eigenlijk altijd op de achtergrond, Hij beet wel van zich af als het teveel was, maar verder was hij een hele rustige, lieve reu. Hij vond het heerlijk om met hem te spelen, maar vroeg nooit de aandacht. Op het moment toen hij alleen nog met Liesje was, kwam hij los. Toen hoorde je en zag je ook dat hij aanwezig was.

Blue was ook reutje die je aan kon kijken waar je verliefd op werd. Hij stak net als Jagger ook vaak een puntje van de tong uit zijn mond.

Hij gaat naar een bobtail maatje Bailey. Bailey is een wat dominanter teefje, vandaar dat we daar een rustige reu hebben neergezet.

 

 

Toen Blue eenmaal weg was heb ik Liesje gewassen en geföhnd. Daarna heb ik haar in de puppyren gezet, maar dat wilde ze niet. Ik heb haar toen opgepakt en mee genomen naar buiten en we hebben daar een poosje samen gespeeld totdat haar nieuwe baasjes kwamen.

Liesje krabde vaak aan mijn been en dan wilde ze opgepakt worden. Dan begon ze als een gek te kwispelen. Ze vond het geweldig om aandacht te krijgen en vroeg hier ook wel om.

Ze sprong net als Nora zo in je armen. Verder sprong ze met 4 poten tegelijk in de ballenbak.

Liesje heeft best een pittig karakter, maar ze is altijd vrolijk.

Liesje gaat naar Lotje, zij s de zus van mama Xanthy. Lotje is een afwachtende rustige teef naar anderen en ik hoop dat Liesje haar helpt wat vrijer te worden.

 

 

Het afscheid nemen was best wel weer voor Richard en mij zwaar, ondanks dat we weten dat ze het goed zullen krijgen.

OA bij het afscheid hebben we lekkere vlaaien gegeten,  chocolaatjes, lekkernij uit eigen streek en cadeautjes gehad. 

Dat was erg lief, maar het grootste cadeau was toch wel die mooie glimlach van de nieuwe baasjes om hun mond wanneer ze hun pup vast hadden.

Het ga jullie alle 9 goed en ik zal jullie met trots blijven volgen en misschien soms ook zien.

Alle 9 hebben een plekje in mijn hart en ik heb volop van jullie genoten!!!

Dikke kus aan het D nest.